踇外翻患者的福音
2017-06-15
阅读次数:5323
踇外翻有什么危害呢?
影响病人的穿鞋,还会引起疼痛,如果不进行治疗,畸形和疼痛都会逐渐加重,严重的还会影响到其它脚趾及关节的位置,大踇趾外撇严重者可以位于第二、三足趾的下面,将第二、三足趾顶起来,容易导致足底长茧子,使走路引起疼痛,病人无履可适,给工作、生活带来不便和痛苦,且外形美观上也缺乏美感。
该病主要发生在女性,以中老年妇女为主,男女比例为1:19,发病率约占女性 20% 。
其发病除了遗传因素外,多与穿尖头鞋与高跟鞋有很大的关系。临床表现为踇囊炎疼痛和前足畸形,影响患者的生活、工作和学习,使病人的生活质量明显下降。

如果我们不重视会怎么样?
踇外翻一旦形成,就会呈现进行性加重。随着踇外翻的发展,第一跖骨内翻,跖骨头向内侧移位,籽骨由于周围韧带的牵拉保持原位,籽骨相对于跖骨头发生移位,跖骨头跖侧骨嵴被磨平,籽骨失去跖趾关节在伸屈运动中的滑车作用。
籽骨的外移会牵拉拇趾近节趾骨发生旋转,踇收肌进一步牵拉线趾向外侧偏斜,踇趾关节内侧产生明显张力,内侧关节囊和韧带被牵拉,跖骨头内侧韧带附着部发生骨的重建。
骨赘不断增大,和外部鞋面的摩擦形成拇囊炎、局部红肿,表面皮肤形成胼胝体神经炎,引发疼痛和踇趾的感觉异常。第一跖骨头外侧在这种向外的挤压的应力下出现破骨重建,久之引起跖骨头关节面的外翻倾斜。
踇外翻后,第一跖骨头下负重减少,外侧跖骨头负重增加,此时患者可表现为第2、3跖骨头下胼胝体和疼痛,对于较严重的踇外翻,对于第2趾的挤压,可引起第2趾的锤状趾,背伸的跖趾关节对跖骨头进一步形成挤压,跖骨头跖屈,更加重第2跖骨头的负重。久而久之,可引起跖骨头软骨损伤和坏死,最后,形成跖趾关节骨性关节炎。
是不是患了踇外翻就没有办法医治呢?
目前踇外翻的治疗方法非常多:
1、保守治疗:
当踇趾外翻没有影响足部功能,患者不想手术的情况下,都可以采取一些预防性保守治疗的方法来处理。具体措施有以下几种:
1)不穿尖头、高跟鞋,选择一些鞋头宽大的鞋,使足趾在鞋里有一定活动空间,不受任何挤压。
2)多赤足走走,有条件时多在沙地上走走。
3)经常将大踇指向内侧掰动。
4) 建议多做赤足运动,锻炼足底肌肉力量,延缓踇外翻发展;
5)踇外翻矫形器具的应用,通过日、夜用踇外翻矫形器,给踇趾一个持续的向内侧牵拉的力量,以达到缓解踇外翻的作用。
6)矫形鞋垫,矫形鞋垫的作用在于缓解踇内肌拉力作用,延缓踇外翻加重发展,另外作用可以预防治疗胼胝体疼痛,它也可以通过对内侧足弓的支撑作用,改善踇外翻畸形,增强患者运动能力。


矫形鞋垫
一般来讲,以上保守治疗的措施,可能仅仅可以延缓踇趾外翻程度的加重,或者可以延缓踇趾外翻并发症的发生,一般不会彻底矫正畸形。
2、传统踇外翻的治疗
踇外翻目前的治疗手段主要是手术矫正。国内外学者仍然运用大切口踇外翻,采用手术矫正的治疗手段。国内外学者仍然运用大切口,可归纳为以下六类:
1、第一跖趾关节成形术;
2、踇囊肿切除术及软组织手术;
3、跖骨近端截骨术;
4、跖骨基底截骨术;
5、特殊手术;
6、拇趾人工假体置换术。
以上传统大切口手术存在的麻醉复杂、切口大、术中对软组织损伤较严重、对前足的生物力学影响较大、并发症多、畸形容易复发、需要内固定或石膏外固定等不足。病人治疗后生活常不能自理,需要住院3-6周,术后不能下地,恢复慢、复发率较高等缺点。

传统大切口术后
而我院采用微创的矫形方法使广大踇外翻患者不再被这个疾病所困扰
该方法具有局麻、微创、无内固定物、经济、即刻行走的明显优点,在临床中取得了非常好的效果,受到了广大患者的一致好评。


传统方法(左)与微创矫形方法(右)对比


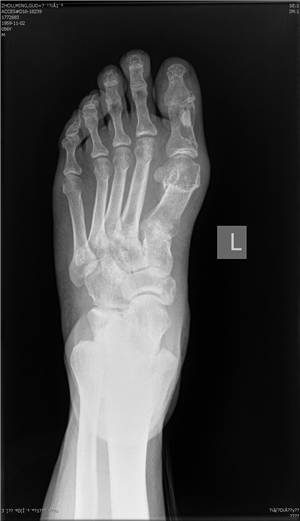
微创矫形方法术前(左)术后(右)X光对比
微创矫形方法术前(左)术后(右)对比
那么这个手术的适应症与禁忌症是什么呢?
适应症:
1、轻、中、重度踇趾外翻畸形。
2、踇外翻矫正术后,畸形复发,第一跖趾关节功能尚好的踇外翻患者
禁忌症:
微创手术禁忌症较少,主要有以下情况:
①严重糖尿病病人;
②急性感染性疾病病人;
③严重类风湿性关节炎;
④拇跖趾关节融合;
⑤严重的神经损伤。
如果您还在因踇外翻引起的疼痛而备受困扰,那么作为百年骨科的一骨,将采用最简单、经济、有效的方式为您彻底解除病痛,还你一个美丽、健康的足部!
从业20余年,先后在邛崃市中医院、成都军区总医院、成都第一骨科医院从事骨科临床工作,积累了丰富的经验,接受过四川省举办的医院骨科骨干培训班学习;并多次在三甲医院进修深造学习。
擅长足踝关节各类损伤及各种退行性骨关节疾病的诊断和治疗。
坐诊时间:周一、周三、周五、周六全天 7:50-12:00 2:00-5:00
周二、周四半天 7:50-12:00